Düsseldorf 23.3.2020
AAD 2020 entfällt
Die digitale Pressemappe gibt einen Einblick in ausgewählte Themen.
Berufsverband der Augenärzte Deutschlands
Pressereferat
Tersteegenstr. 12
40474 Düsseldorf
Telefon: 0221 4303700
E-Mail: pressekontakt@augeninfo.de
Grußwort
Düsseldorf, 24. März 2020
Sehr geehrte Damen, sehr geehrte Herren,
leider kann in diesem Jahr die 21. Augenärztliche Akademie Deutschland nicht stattfinden. Das Gesundheitsamt der Stadt Düsseldorf hat die Tagung in Anbetracht der Risikosituation bei der Verbreitung des SARS-CoV-2-Virus („Corona-Virus“) abgesagt. Deshalb entfällt auch die geplante Auftaktpressekonferenz zur AAD 2020. Die Pressemitteilungen zu den geplanten Themen werden jedoch wie geplant als digitale Pressemappe veröffentlicht.
Der 1. Vorsitzende des Berufsverbandes der Augenärzte Deutschland e.V. (BVA), Dr. Peter Heinz, weist in seinem berufspolitischen Statement auf die Bedeutung und Notwendigkeit der bildgebenden Verfahren in der Augenheilkunde hin und verdeutlicht in diesem Zusammenhang die Diskrepanz zwischen den Ansprüchen an eine moderne, evidenzbasierte Medizin und einem veralteten Honorarsystem.
Gentherapien bei Netzhautdegeneration ermöglichen Behandlungserfolge, die bisher als unerreichbar galten. Die Kosten dieser Therapien für seltene Erkrankungen liegen im sechsstelligen Bereich und stellen damit hohe Anforderungen an die Leistungsfähigkeit unseres Gesundheitssystems. Hierzu und zu den Erwartungen bezüglich der Behandlungsmöglichkeiten der feuchten Makuladegeneration berichtet Dr. Philipp Herrmann von der Universitätsaugenklinik Bonn.
Die Deutsche Ophthalmologische Gesellschaft (DOG) und der BVA haben eine neue Leitlinie zu den Risikofaktoren des Offenwinkelglaukoms erarbeitet. Vor dem Hintergrund, dass die Glaukomfrüherkennungsuntersuchung noch immer nicht zum Leistungsumfang der gesetzlichen Krankenkassen gehört, Augenärzte andererseits verpflichtet sind, diese den Patienten anzubieten, kommt dieser Leitlinie auch berufspolitisch besondere Bedeutung zu. Prof. Dr. Alexander Schuster von der Universitätsaugenklinik Mainz stellt die wesentlichen Aussagen dieser neuen Leitlinie vor.
Die Kataraktoperation ist der häufigste operative Eingriff in fast jedem Land dieser Welt. Mit der hierdurch gewonnenen Erfahrung und der inzwischen erreichten Präzision auch bezüglich der postoperativen Refraktion einerseits und der Weiterentwicklung der Intraokularlinsen andererseits, ist die Kataraktoperation inzwischen zu einem refraktivchirurgischen Eingriff geworden, der auch dann angewendet werden kann, wenn es nicht vornehmlich um die Beseitigung einer Linsentrübung geht. Die hierzu gegebenen Empfehlungen der Kommission Refraktive Chirurgie erläutert Prof. Dr. Thomas Kohnen vom Klinikum der Johann Wolfgang Goethe-Universität Frankfurt am Main.
Generell beobachten wir in den letzten Jahrzehnten eine Zunahme allergischer Erkrankungen. Inzwischen leiden rund 50% der europäischen Bevölkerung an einer allergischen Konjunktivitis. Zu den Formen allergischer Konjunktivitis, den Ursachen, den Untersuchungsmethoden und der Differentialdiagnose sowie den Behandlungsoptionen berichtet Prof. Dr. Philip Maier von der Universitätsaugenklinik Freiburg.
Den BVA-Medienpreis erhalten in diesem Jahr die beiden Filmautoren Volker Wasmuth und Patrick Zeilhofer. Ihre ZDF-Dokumentation „Gesunde Augen – klarer Blick“ überzeugte uns mit einer differenzierten und gut verständlichen Darstellung der Themen, mit denen Augenärzte in Deutschland und weltweit tagtäglich konfrontiert sind. Die Dokumentarfilmer fragten nach, weshalb Kinder kurzsichtig werden und was sich dagegen unternehmen lässt, sie begleiteten aber auch einen Patienten bei einer lamellären Keratoplastik in den OP. Sie zeigten, wie sich die feuchte AMD heute behandeln lässt und welche Forschungen in Deutschland laufen, um die Makuladegeneration mit Hilfe von Stammzellen in den Griff zu bekommen. Der Film erläutert, wie bei einer Kataraktoperation in Deutschland heute mit modernen Techniken zugleich eine Fehlsichtigkeit ausgeglichen wird. Das Team reiste sogar nach Ruanda, um zu beobachten, wie augenärztliche Teams im Auftrag der Christoffel Blindenmission dort Menschen vom Grauen Star heilen.
Das Autoren-Duo hat u.a. mit dieser Dokumentation einen wertvollen Beitrag zur Information und Aufklärung der Öffentlichkeit auf dem Gebiet der Augenheilkunde geleistet.
Ihr
Dr. Ludger Wollring,
Pressesprecher des BVA
Pressemappe:
Moderne Diagnostik für erfolgreiche Therapien
Augenärzte fordern: Mehr bildgebende Verfahren in den EBM
Auf bildgebende diagnostische Verfahren setzen Augenärzte bei der Versorgung ihrer Patienten schon lange. Sie fotografieren den Augenhintergrund, um krankhafte Veränderungen zu dokumentieren, sie machen mittels optischer Kohärenztomografie (OCT) hochauflösende Schichtbilder der Netzhaut, und sie nutzen noch etliche andere Verfahren, die helfen, krankhafte Prozesse zu erkennen und zu verstehen. Im gerade beginnenden Jahrzehnt gewinnen diese Verfahren im Kontext der sogenannten künstlichen Intelligenz an Bedeutung. Auch wenn die Algorithmen, die nun für die Auswertung der Bilder eingesetzt werden, von wirklich „künstlicher Intelligenz“ noch weit entfernt sind, werden diese Entwicklungen immer wichtiger: Automatisierte Verfahren unterstützen die Augenärzte bei der Beurteilung der einzelnen Bilder.
Honorarsystem verharrt auf dem Stand der 1990er Jahre
Das Honorarsystem in der gesetzlichen Krankenversicherung in Deutschland ist jedoch noch weit entfernt davon, diesen Entwicklungen Rechnung zu tragen. Der Einheitliche Bewertungsmaßstab (EBM), der die Grundlage für die Abrechnung der einzelnen ärztlichen Leistungen ist, verharrt auf dem Stand der 1990er Jahre. Augenärzte erhalten seit jeher für Fotografien keinerlei Honorar. Dabei sollte es heute bei vielen Augenerkrankungen Standard sein, Fotos anzufertigen. Und sie sind eine wichtige Grundlage für den Einsatz von Algorithmen: Ohne gute, nach standardisierten Vorgaben angefertigte Bilder fehlt die Grundlage für eine automatisierte Auswertung.
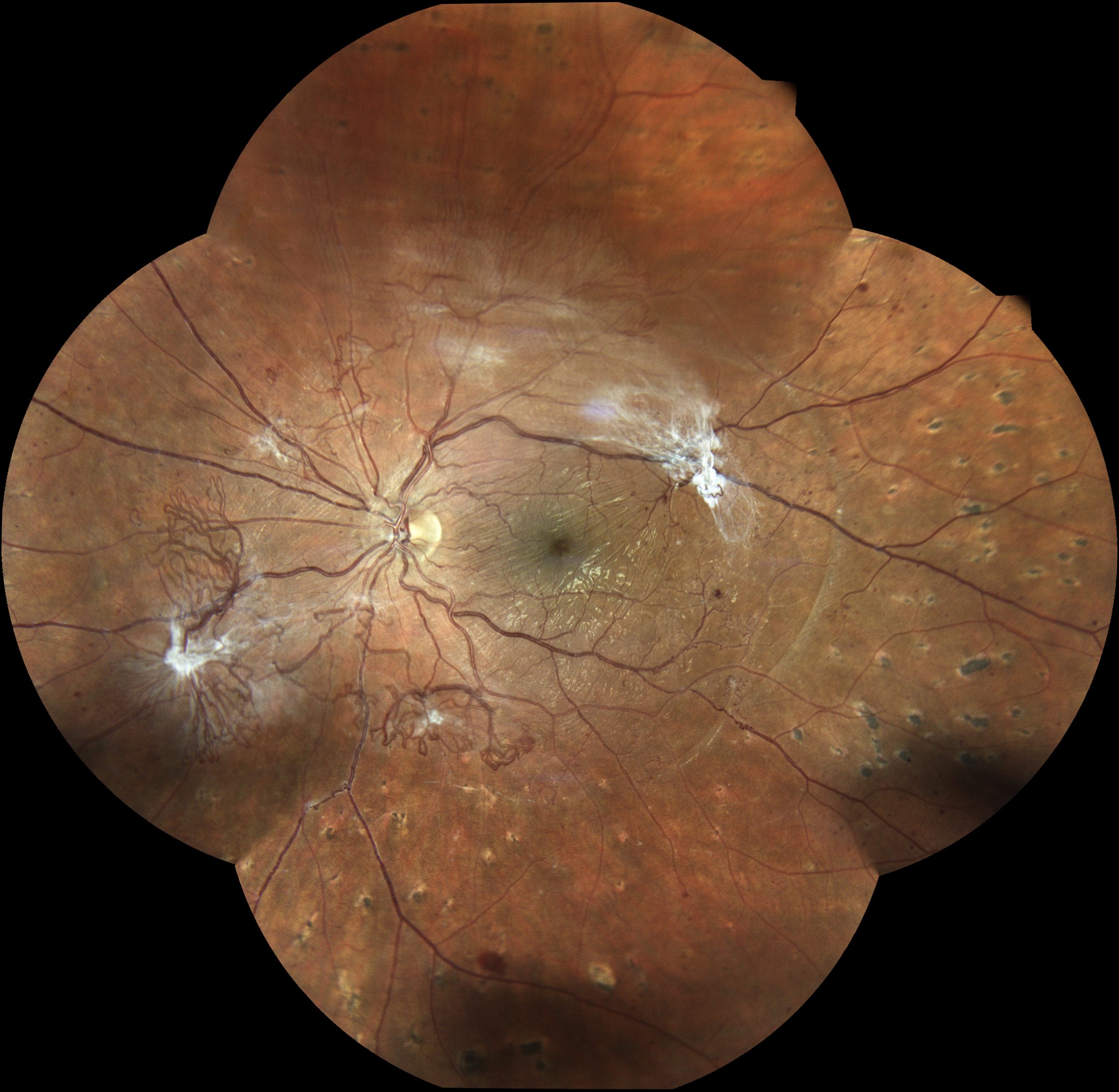
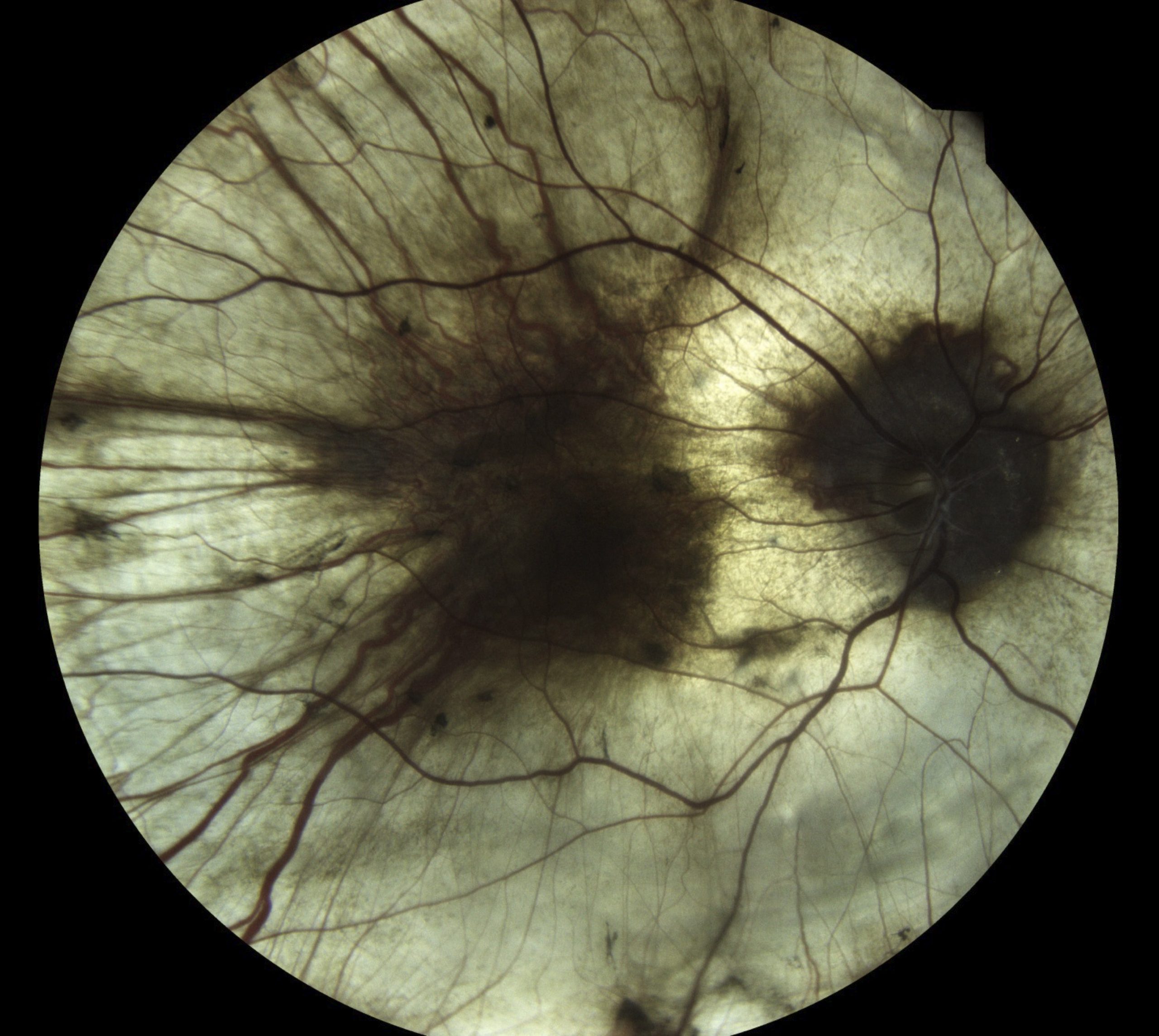
Jeder Augenarzt und jede Augenärztin kennt solche Beispiele aus der Praxis: Ein Patient kommt mit einem Bindehauttumor in die Praxis. Das kann ein harmloser Nävus sein – eine gutartige Fehlbildung wie es auch ein Muttermal ist (Abbildungen 1 und 2). Es kann aber auch ein bösartiger Tumor sein. Deshalb gilt es genau hinzuschauen und den Verlauf zu beobachten: Verändert er sich von einer Untersuchung zur nächsten? Dies lässt sich jedoch ohne eine Fotografie nicht dokumentieren. Ein anderes Beispiel ist das Netzhautscreening bei Menschen mit Diabetes: Sie sollen regelmäßig augenärztlich untersucht werden, um bei Schäden an der Netzhaut rechtzeitig reagieren zu können. Auch hier ist es unerlässlich, bei jeder Untersuchung Fotos der Netzhaut anzufertigen, um Veränderungen im Detail nachvollziehen zu können (Abbildungen 3 und 4).
Die tägliche Praxis beweist seit Jahren, dass Fotografien ein wertvolles Mittel sind, um den Krankheitsverlauf und den Therapieerfolg zu beurteilen. Gute Fotos erfordern jedoch eine gute technische Ausstattung und das entsprechende Know-how. Die standardisierte Befunderhebung und die systematische Archivierung sind mit einem erheblichen Aufwand verbunden, den Augenärzte bei Versicherten der gesetzlichen Krankenkassen jedoch nicht abrechnen können. Der EBM sieht das Foto als diagnostische Leistung in der Augenheilkunde schlicht nicht vor.
Verzicht auf Bilddokumentation wird bestraft
Wenn Augenärzte nun aber auf die Fotodokumentation verzichten, machen sie sich unter Umständen strafbar. Im Jahr 2016 verurteilte das Oberlandesgericht Hamm einen Augenarzt, der es unterlassen hatte, bei einem Glaukompatienten schon vor Beginn der Behandlung im Jahr 1998 eine Bilddokumentation des Sehnervenkopfes anzulegen (Urteil vom 15.01.2016, AZ 26 U 48/14).
Augenärzte müssen also eine Bilddokumentation anlegen, können sie aber nicht gemäß EBM abrechnen. Bleibt die Option, diese den Patienten als Individuelle Gesundheitsleistung in Rechnung zu stellen – doch wenn Augenärzte das tun, sehen sie sich einmal mehr von Krankenkassen, Verbraucherzentralen und Gesundheitspolitikern als „Abzocker“ verunglimpft.
Forderungen der Augenärzte
Deshalb fordert der Berufsverband der Augenärzte Deutschlands, dass sowohl die Netzhautfotografie als auch die Vorderabschnittsfotografie als diagnostische Leistungen in den EBM aufgenommen werden.
Eine ähnliche Situation wie bei der Fotografie findet sich bei der OCT: Erst nach langem Ringen konnte dieses Verfahren im vergangenen Oktober für zwei Indikationen in den EBM eingebracht werden. Nur bei den Diagnosen Altersabhängige Makuladegeneration und diabetisches Makulaödem kann das Verfahren bei Kassenpatienten abgerechnet werden. Dabei ist die OCT für Augenärzte längst ein unverzichtbares Werkzeug für die Verlaufskontrolle etlicher Augenerkrankungen. Deshalb sollte – auch angesichts der ständigen Weiterentwicklung dieser Technologie – die Aufnahme weiterer Indikationen in den EBM diskutiert werden.
Nutzen ist unbestritten, aber der evidenzbasierte Nachweis fehlt
Bisher scheitert die Aufnahme diagnostischer Leistungen in der Augenheilkunde in den EBM, weil die hohen Anforderungen des Gemeinsamen Bundesausschusses der Ärzte und Krankenkassen (GBA) nicht erfüllbar sind. Der GBA fordert einen evidenzbasierten Nachweis dafür, dass sich der Einsatz der Diagnostik positiv auf die Sehschärfe oder andere Sehparameter auswirkt. Diesen Nachweis in wissenschaftlichen Studien zu erbringen, ist jedoch kaum machbar und wäre mit einem enormen Aufwand verbunden.
Die Wissenschaftler selbst stellen den Nutzen der bildgebenden Verfahren ohnehin nicht in Frage. Ihre Forschungsprojekte befassen sich vielmehr damit, wie Augenärzte, unterstützt durch Auswertungsalgorithmen, Fotos, OCT-Aufnahmen und andere Bildbefunde, künftig so auswerten können, dass die Diagnosestellung zum Wohle der Patienten weiter verbessert wird.
Es muss eine Selbstverständlichkeit sein, dass die Erhebung und die ärztliche Auswertung dieser Befunde, die die Grundlage für die neuen Technologien sind, auch bei Kassenpatienten angemessen honoriert werden.
Fazit
Bildgebende Verfahren wie die digitale Fotografie sind in der Augenheilkunde wichtige Voraussetzung für eine erfolgreiche Therapie von Augenkrankheiten. Das Honorarsystem der gesetzlichen Krankenversicherung sieht für die meisten dieser diagnostischen Leistungen jedoch kein Honorar vor. In Zeiten, in denen Computeralgorithmen eingesetzt werden, um die Erkennung von Augenkrankheiten immer weiter zu verbessern, gewinnen die Bildbefunde als die Basis dieser neuen Technologien enorm an Bedeutung. Umso mehr muss es ein angemessenes Honorar für den Aufwand geben, der mit der Erhebung und der Auswertung dieser Befunde verbunden ist.




Dr. med. Peter Heinz
1. Vorsitzender des Berufsverbands der Augenärzte Deutschlands e.V.
Tersteegen Str. 12
40474 Düsseldorf
Tel.: 02 11/4 30 37 00
Fax: 02 11/4 30 37 20
E-Mail: bva@augeninfo.de
www.augeninfo.de
Gentherapie bei Netzhautdegeneration
Was ist heute möglich? Wie geht es weiter?
Es ist selten, doch es kommt vor: Ein Kind wird mit einem Gendefekt geboren, der dazu führt, dass es schon früh erblindet. Bisher mussten sich die betroffenen Familien damit abfinden und Strategien entwickeln, mit denen diese Kinder ihr Leben auch ohne Augenlicht meistern können. Augenärzte waren machtlos. Mit Hilfe der Gentherapie möchten sie künftig den Betroffenen helfen: Eine Injektion unter die Netzhaut sorgt dafür, dass Kopien des gesunden Gens in die erkrankten Zellen des Auges „eingebaut“ werden. Das Ziel: Ein Mensch, der sonst unweigerlich erblindet wäre, behält sein Augenlicht.
Erste Gentherapie 2017 zugelassen
2017 kam das erste Medikament auf den Markt, mit dem dies bei einer seltenen, genetisch bedingten Augenerkrankung gelingen soll. „Voretigene neparvovec“, so der komplizierte Name des Wirkstoffs, ist zur Behandlung von Netzhautdystrophien durch Mutationen im RPE65-Gen zugelassen. Diese Krankheit trifft etwa einen von 200000 Menschen. Erst vor zwei Jahrzehnten, im Jahr 1997, hatten Forscher entdeckt, dass Mutationen im RPE65-Gen zu einer im Kindesalter beginnenden Netzhauterkrankung führen, welche auch als Lebersche kongenitale Amaurose bezeichnet wird. Die Mutationen sorgen für Veränderungen bei einem Enzym, das für die Erneuerung des Rhodopsins (Sehpurpur) wichtig ist. In der Folge sterben die Zellen der Netzhaut ab. Die Betroffenen zeigen schon in der frühen Kindheit Zeichen der Krankheit und klagen über Dunkelsehprobleme, wobei das Spektrum der Erkrankung sehr breit ist und manche Erkrankten noch bis ins Erwachsenenalter eine gut erhaltene zentrale Sehfunktion aufweisen. Die vor zwei Jahren zugelassene Behandlung gibt Anlass zur Hoffnung, dass die Patienten zumindest ein gewisses Sehvermögen behalten – allerdings fehlen noch Erfahrungen, ob der Erfolg der Therapie auch langfristig, über viele Dekaden anhält.
Beispielhafte Entwicklung
Für Wissenschaftler machten einige Umstände die Lebersche kongenitale Amaurose besonders interessant, um die Entwicklung einer Gentherapie beispielhaft zu testen: Nur ein einziger Gendefekt muss „repariert“ werden, was es leichter macht, ein Medikament dafür zu entwickeln. Zudem geschieht die Behandlung im Augeninneren, das für die Ärzte leicht zugänglich ist. Nur wenig Flüssigkeit muss hierfür unter die Netzhaut injiziert werden, und das Risiko, dass das Medikament das Auge verlässt und im Körper zirkuliert, ist sehr gering. Auswirkungen auf den gesamten Körper sind daher kaum zu befürchten. Hinzu kommt eine besondere Eigenschaft des Auges, sein „Immunprivileg“, aufgrund dessen keine Abwehrreaktionen eintreten.
Viren als „Gentaxis“
Um das Medikament zu den Zielzellen zu bringen, ist die Entfernung des Glaskörpers, eine sogenannte Vitrektomie, nötig. Dies ist ein standardisierter, häufiger Eingriff an Netzhautzentren. Unter sterilen Bedingungen findet anschließend eine Injektion ins Innere des Auges statt. Das Ganze dauert nur eine halbe Stunde. Bei dem Medikament handelt es sich um speziell programmierte Viren, die als „Gentaxis“ ins Auge geschickt werden. Im Labor werden dafür Adeno-assoziierte Viren entwickelt, in die das gesunde Gen verpackt wird. Die Viren schleusen dieses korrekte Gen direkt in die Zielzelle, das retinale Pigmentepithel, um so dauerhaft ihr Überleben zu ermöglichen.
Erfolg ein Jahr nach der Behandlung war Grundlage für die Zulassung
Für die Zulassung des Medikaments – der ersten Gentherapie am Auge, die jemals auf den Markt kam – war eine Studie mit nur 31 Patienten ausschlaggebend. Da die Erkrankung so selten ist, sind große Studien mit Hunderten oder gar Tausenden Patienten, wie man sie von anderen Medikamenten kennt, nicht möglich. 21 der Studienteilnehmer erhielten die neue Behandlung, 10 weitere Patienten dienten als Kontrollgruppe. Untersucht wurde, wie die Patienten ein Jahr nach der Behandlung in einem speziellen Test abschnitten, dem „multi-luminance mobility test“ (MLMT). Dabei durchlaufen die Teilnehmer einen Parcours mit unterschiedlichen Hindernissen bei verschiedenen Lichtverhältnissen. Zusätzlich wurden die Sehschärfe und viele weitere Parameter der Patienten kontrolliert. Die behandelten Patienten meisterten den Parcours nach einem Jahr deutlich besser als die Patienten der unbehandelten Kontrollgruppe. Auch die Sehschärfe war nach der Behandlung besser als bei den nicht behandelten Patienten. Schwerwiegende Nebenwirkungen der Therapie traten nicht auf.
Damit konnte bewiesen werden, dass die Gentherapie wirkt. Ob der Effekt auch langfristig anhält, ist allerdings noch abzuwarten, dafür ist die Behandlungsmethode noch zu neu. Zu wünschen ist, dass die Patienten für den Rest ihres Lebens von dieser einmaligen Injektion profitieren.
Herausforderung für das Gesundheitssystem
Der Preis, den das Gesundheitssystem für die Behandlung zu zahlen hat, ist hoch: 345000 Euro fordert der Hersteller für jede einzelne Injektion. Diese Kosten rechtfertigen eine hohe Erwartung und stellen eine Herausforderung für jedes Gesundheitssystem dar – zumal weiterhin neue, zum Teil noch wesentlich teurere Gentherapien auf den Markt kommen. Als Rechtfertigung für den hohen Preis verweisen die Hersteller auf die aufwendige Entwicklung und die meist geringe Zahl an Patienten.
Weiter Weg vom Symptom zur Behandlung
Der Weg vom Symptom zur Behandlung ist weit: Eine Krankheit wird zunächst anhand der Symptome, die sie hervorruft, und anhand der messbaren Veränderungen der Augen definiert. Aufbauend auf diesem Phänotyp machen sich die Forscher dann auf die Suche nach den zugrundeliegenden Gendefekten. Erst wenn sie diese identifiziert haben, können sie ein Produkt entwickeln, um diese Defekte zu reparieren. Hat man eine Therapie gefunden, wird sie – wie andere Behandlungen auch – zunächst im Tiermodell und anschließend in klinischen Studien an Menschen erprobt. Dabei kommen die meisten Therapieansätze nicht in die „Endrunde“: In den sogenannten Phase-III-Studien geht es um eine Zulassung für die allgemeine Versorgung der Patienten.
Vorbild für weitere Medikamente
Es ist zu hoffen, dass nach dem Vorbild der ersten Gentherapie weitere Medikamente entwickelt werden, die bei anderen erblichen Augenerkrankungen eingesetzt werden können. Beispielsweise wird derzeit eine Gentherapie für die Krankheit Choroideremie entwickelt. Diese Krankheit wird durch eine Genveränderung auf dem X-Chromosom hervorgerufen und tritt, da Männer nur ein X-Chromosom haben, fast nur bei Männern auf. Betroffen ist etwa ein Mensch von 50000.
Gentherapie gegen die feuchte AMD?
Ein etwas anderes Ziel verfolgt eine weitere Neuentwicklung, die sehr vielen Patienten zugutekommen könnte: In ersten Studien wird untersucht, ob sich eventuell auch die feuchte Altersabhängige Makuladegeneration mit einer Gentherapie behandeln lässt. Bisher erhalten Patienten mit dieser Augenerkrankung immer wieder Medikamentengaben ins Auge, um die Erblindung zu verhindern. Mit einer Gentherapie, so der neue Ansatz, könnten die Netzhautzellen so verändert werden, dass sie selbst einen Wirkstoff produzieren. In das Erbgut der Zellen wird eine neue DNA-Sequenz eingebaut. In der Folge produziert die Zelle einen dem Aflibercept ähnlichen Wirkstoff. Eine erste klinische Studie mit betroffenen Patienten fand bereits statt. Wenn sich das Konzept bewährt, müssten Patienten künftig nur noch einmal behandelt werden und nicht alle paar Wochen eine Injektion erhalten. Der organisatorische Aufwand und die Belastung für die Betroffenen ließen sich damit deutlich verringern.
Fazit
Die erste zugelassene Gentherapie am Auge gibt Patienten mit einer seltenen, genetisch bedingten Augenerkrankung Hoffnung: Mit einer einmaligen Behandlung wird der Gendefekt in den Netzhautzellen „repariert“ und so die Degeneration der lichtempfindlichen Schicht im Auge gestoppt. Nach dem Vorbild dieser neuartigen Behandlung sollen nun auch Therapien für andere erbliche Augenerkrankungen entwickelt werden. Ein weiterer Ansatz zielt darauf ab, dass im Auge selbst Wirkstoffe produziert werden – etwa gegen die feuchte Form der Altersabhängigen Makuladegeneration. Gentherapien sind ein neues, noch junges Behandlungskonzept, das allmählich seinen Weg in die Gesundheitsversorgung findet. Damit verbunden sind hohe Kosten, die eine erhebliche Herausforderung für das Gesundheitssystem darstellen.


Dr. Philipp Herrmann, PhD, FEBO
Oberarzt und Leiter der Sprechstunde für seltene Netzhauterkrankungen
Universitätsaugenklinik Bonn
Ernst-Abbe-Straße 2
53127 Bonn
Tel.: 0228/287 15505
Fax: 0228/287 14817
E-Mail: Philipp.Herrmann@ukbonn.de
Mit Gentherapie das Augenlicht retten
Kurzfassung
Mit Hilfe der Gentherapie möchten Augenärzte Patienten helfen, deren Augenlicht aufgrund eines Gendefekts bedroht ist. 2017 wurde das erste Medikament zugelassen, mit dem eine genetisch bedingte Augenkrankheit behandelt wird. Mutationen im RPE65-Gen führen bei etwa einem von 200000 Menschen dazu, dass die Zellen der Netzhaut absterben. Die Mutationen sorgen für Funktionsstörungen bei einem Enzym, das für die Erneuerung des Rhodopsins (Sehpurpur) und damit für das Funktionieren und Überleben der Zellen wichtig ist. Die vor zwei Jahren zugelassene Behandlung für die Lebersche kongenitale Amaurose gibt Anlass zur Hoffnung, dass den Patienten zumindest ein gewisses Sehvermögen erhalten bleibt – allerdings fehlen noch Erfahrungen, ob der Erfolg der Therapie langfristig, über viele Dekaden, anhält.
Bei dem Medikament handelt es sich um speziell programmierte Viren, die als „Gentaxis“ ins Auge injiziert werden. Diese Viren werden im Labor entwickelt und enthalten das gesunde Gen. Um das Medikament ins Auge zu transportieren, wird der Glaskörper im Augeninneren entfernt, dann folgt die Injektion unter die Netzhaut. Der Eingriff dauert etwa eine halbe Stunde. Die Viren schleusen dann das gesunde Gen in die Zielzellen, das retinale Pigmentepithel.
Für die Zulassung des Medikaments war eine Studie mit 31 Patienten ausschlaggebend. 21 Studienteilnehmer erhielten die neue Behandlung, 10 weitere Patienten dienten als Kontrollgruppe. Ein Jahr nach der Behandlung absolvierten die Patienten einen speziellen Test, bei dem sie einen Parcours mit unterschiedlichen Hindernissen bei verschiedenen Lichtverhältnissen durchliefen. Die behandelten Patienten meisterten diesen Parcours deutlich besser als die Patienten in der unbehandelten Kontrollgruppe. Auch die Sehschärfe war bei den behandelten Patienten besser als bei den nicht behandelten Patienten.
Der Preis, den das Gesundheitssystem für die Behandlung zu zahlen hat, ist hoch: 345000 Euro fordert der Hersteller für jede einzelne Injektion – unter Verweis auf die aufwendige Entwicklung und die geringe Zahl an Patienten.
Nach dem Vorbild der ersten Gentherapie lassen sich hoffentlich weitere Medikamente entwickeln, die bei anderen erblichen Augenerkrankungen eingesetzt werden können. Aktuell laufen verschiedene klinische Studien, die zur Zulassung von weiteren Medikamenten führen könnten.
Eine weitere Neuentwicklung verfolgt ein etwas anderes Ziel: In ersten Studien wird untersucht, ob sich auch die feuchte Altersabhängige Makuladegeneration mit einer Gentherapie behandeln lässt. Bisher erhalten Patienten mit dieser Erkrankung immer wieder Medikamentengaben ins Auge, um die Erblindung zu verhindern. Nun wird untersucht, ob Netzhautzellen mittels Gentherapie so verändert werden können, dass sie selbst einen Wirkstoff produzieren. Eine erste klinische Studie mit betroffenen Patienten fand bereits statt. Bewährt sich das Konzept, dann könnten viele Patienten davon profitieren – sie müssten nur noch einmal behandelt werden und nicht alle paar Wochen.
Neue Leitlinie zu Risikofaktoren des Offenwinkelglaukoms
Wer ist gefährdet?
Man wird blind und merkt es nicht. Kann das sein? Leider ja: Das Glaukom (Grüner Star) ist eine tückische Erkrankung. Fachleute definieren sie als eine langsam voranschreitende Erkrankung des Sehnervs. Kennzeichnend sind der Verlust von retinalen Ganglienzellen und deren Fortsätzen (Axone). Die Folge sind blinde Flecken im Gesichtsfeld des Auges, zunächst am Rand, erst sehr spät ist auch das zentrale Sehen betroffen. Erst in fortgeschrittenem Stadium dieser Erkrankung bemerken die Patienten selbst Symptome. Doch zu diesem Zeitpunkt ist bereits ein großer Teil des Sehnervs zerstört – und das ist ein Verlust, der sich nicht rückgängig machen lässt. Häufig besteht dann bereits eine Fahruntauglichkeit.
Augenärzte werden deshalb nicht müde, für die Glaukomfrüherkennung zu werben. Sie ist die einzige Möglichkeit, die Erkrankung schon früh zu entdecken, noch ehe es zu gravierenden Schäden gekommen ist. Nur wenn die Diagnose rechtzeitig gestellt wird, kann das weitere Fortschreiten des Glaukoms aufgehalten oder verzögert werden. Eine Heilung ist nicht möglich, ebenso wenig können bereits aufgetretene Ausfälle im Gesichtsfeld wieder rückgängig gemacht werden.
Glaukomfrüherkennung – für wen und in welchen Abständen?
Die gesetzlichen Krankenkassen übernehmen die Kosten für diese Früherkennungsuntersuchung aufgrund fehlender Daten nicht. Augenärzte können sie nur als Individuelle Gesundheitsleistungen (IGeL) anbieten. Der von den Krankenkassen initiierte IGeL-Monitor bewertet den Nutzen dieser Früherkennung immer wieder kritisch.
Mit einer neuen Leitlinie bewerten die Deutsche Ophthalmologische Gesellschaft (DOG) und der Berufsverband der Augenärzte Deutschlands (BVA) nun Risikofaktoren für das Auftreten des Offenwinkelglaukoms. Sie geben Empfehlungen, welchen Patienten die Früherkennungsuntersuchung angeboten und in welchen Abständen die Untersuchung wiederholt werden soll. Die neue Leitlinie wird auf der Internetseite der Arbeitsgemeinschaft der Wissenschaftlichen Medizinischen Fachgesellschaften (AWMF) veröffentlicht. Grundlagen sind eine systematische Recherche, die Auswahl und die Bewertung der wissenschaftlichen Belege zu den Risikofaktoren des Offenwinkelglaukoms. Sie schafft Klarheit und bietet Ärzten und Patienten Orientierungsmöglichkeiten.
Verschiedene Formen: Offenwinkel- und Winkelblockglaukom
Es gibt verschiedene Formen des Glaukoms, die weitaus häufigste ist das Offenwinkelglaukom. Im Auge selbst wird andauernd eine klare Flüssigkeit gebildet, die die Augenlinse und die Hornhaut mit Nährstoffen versorgt: das Kammerwasser. Es fließt über den Kammerwinkel, den die Hornhaut des Auges und die Regenbogenhaut bilden, wieder aus dem Auge ab.
Ist dieser Kammerwinkel blockiert, dann kommt es sehr schnell zu einem starken Anstieg des Augeninnendrucks, weil das Kammerwasser nicht mehr abfließen kann. Die Betroffenen haben starke Schmerzen und sehen verschwommen. Dieses Winkelblockglaukom ist ein augenärztlicher Notfall, der schnellstmöglich behandelt werden muss, damit das Auge nicht erblindet. Es ist jedoch vergleichsweise selten.
Das Gros der Glaukomerkrankungen entfällt auf das Offenwinkelglaukom. Hier ist der Kammerwinkel offen, aber dennoch leidet der Sehnerv langfristig unter einem individuell zu hohen Augeninnendruck. Hierzu wurde die Literatur systematisch bewertet.
Inzidenz und Prävalenz
Für Menschen im Alter von 40 bis 80 Jahren liegt die Wahrscheinlichkeit, innerhalb der nächsten fünf Jahre an einem Glaukom zu erkranken, bei 0,5 bis 1,5 Prozent. Das zeigt eine Auswertung mehrerer Studien, wobei eine große Streubreite beobachtet wurde. Es gab methodische Unterschiede zwischen den Studien, verschiedene Zeitintervalle wurden beurteilt und auch die Definition des Glaukoms unterschied sich. Die Prävalenz des Glaukoms – also der Anteil der Bevölkerung, der an der Krankheit leidet – liegt in Europa in der Altersgruppe der 40- bis 80-Jährigen bei 2,93 Prozent. Die Mehrheit dieser Erkrankungen entfällt auf das Offenwinkelglaukom.
Risikofaktoren
In wissenschaftlichen Untersuchungen wurden verschiedene Risikofaktoren beschrieben, die mit einer erhöhten Wahrscheinlichkeit einhergehen, an einem Glaukom zu erkranken.
Alter: Mit steigendem Alter lässt sich eine Zunahme der Neuerkrankungen beobachten: Im Vergleich zu 40- bis 49-jährigen Menschen erkranken 50- bis 59-jährige zweifach häufiger an einem Offenwinkelglaukom, 60- bis 69-jährige dreifach häufiger und über 70-jährige Menschen vierfach häufiger. Die Prävalenz des Offenwinkelglaukoms nimmt dementsprechend mit dem Alter zu: 0,4 Prozent der 40-Jährigen sind betroffen, aber schon 0,7 Prozent der 50-Jährigen, 1,4 Prozent der 60-Jährigen, 2,7 Prozent der 70-Jährigen, 5,3 Prozent der 80-Jährigen und 10 Prozent der 90-jährigen Menschen.
Verwandte ersten Grades leiden am Glaukom: Personen, deren Eltern an einem Glaukom leiden, haben ein zweifach erhöhtes Risiko, selbst an einem Glaukom zu erkranken.
Augeninnendruck: Verschiedene Studien belegen, dass ein erhöhter Augeninnendruck ein wichtiger Risikofaktor ist. Wenn der Augeninnendruck 24 mmHg oder mehr beträgt, dann beträgt die Wahrscheinlichkeit, in den nächsten fünf Jahren an einem Glaukom zu erkranken, 9,5 Prozent.
Kurzsichtigkeit: Wenn eine Kurzsichtigkeit von mindestens -4 Dioptrien besteht, ist das Risiko, in den nächsten zehn Jahren an einem Glaukom zu erkranken, zwei- bis dreimal so hoch wie bei Personen mit normalsichtigen Augen. Bei höherer Kurzsichtigkeit steigt auch das Risiko weiter an.
Pseudoexfoliatio lentis: Kennzeichnend für die Pseudoexfoliatio lentis sind feine Ablagerungen auf der Linse und im Kammerwinkel, die den Abfluss des Kammerwassers hemmen. Liegen diese vor, dann besteht ein vier- bis sechsfach erhöhtes Risiko für ein Offenwinkelglaukom.
Weitere assoziierende Faktoren, die mit einer erhöhten Prävalenz des Offenwinkelglaukoms einhergehen, sind das Geschlecht – Männer sind 1,3-fach häufiger betroffen -, dunkle Hautfarbe sowie die Behandlung mit Steroiden.
Nutzen der Früherkennung
Zwei Tatsachen sprechen für den Nutzen einer Früherkennungsuntersuchung: Erstens bemerkt die überwiegende Mehrzahl der betroffenen Patienten erst in einem späten Stadium, dass mit ihren Augen etwas nicht in Ordnung ist. Dann sind häufig schon schwere Einbußen des Sehvermögens eingetreten, die nicht wieder gut gemacht werden können. Zweitens kann das Glaukom besser behandelt werden, wenn es schon in einem frühen Stadium entdeckt wird. Mit Augentropfen, Lasereingriffen oder chirurgischen Maßnahmen kann das Fortschreiten meist aufgehalten oder verzögert werden.
Was gehört zur Früherkennungsuntersuchung beim Glaukom?
Um das Glaukom schon im Frühstadium zu erkennen, ist eine Kombination verschiedener Methoden sinnvoll. Wesentlich ist die Untersuchung der Papille beider Augen. Die Papille ist die Stelle am Augenhintergrund, an der der Sehnerv das Auge verlässt. Bei einem Glaukom ist dort eine Aushöhlung und eine Reduktion der Nervenfasern zu erkennen, die für den Verlust an Nervenzellen typisch ist. Zu dieser Untersuchung, die Augenärzte mit ihrem Spezialmikroskop, der Spaltlampe, ausführen, kommt die Messung des Augeninnendrucks. Beide Untersuchungen sind für die Patienten wenig belastend, sie gehören zu den augenärztlichen Routineuntersuchungen.
Wichtig ist es zudem, die Patienten über den Nutzen und die Risiken der Früherkennung zu informieren und ihnen zu erläutern, wie das weitere Vorgehen im Falle eines positiven Befunds ist.
Wem soll die Früherkennungsuntersuchung angeboten werden?
Die Autoren der Leitlinie kamen zu dem Schluss, dass allen Personen ab dem 40. Lebensjahr die Glaukomfrüherkennungsuntersuchung angeboten werden soll.
Wie oft soll die Untersuchung wiederholt werden?
In der Altersgruppe zwischen 40 und 59 Jahren sollte die Untersuchung alle fünf Jahre wiederholt werden, ab dem Alter von 60 Jahren alle zwei bis drei Jahre – vorausgesetzt, dass zusätzlich zum Alter kein weiterer Risikofaktor vorliegt.
Wenn ein weiterer Risikofaktor vorliegt, dann sollte im Falle eines negativen Untersuchungsergebnisses der Abstand zur nächsten Untersuchung auf zwei bis drei Jahre bei Menschen ab 40 Jahren und auf ein Jahr bei Menschen ab 60 Jahren verkürzt werden. Beim Vorliegen von drei oder mehr Risikofaktoren sollten bereits Personen ab dem Alter von 40 Jahren jährlich untersucht werden. Liegt eine Pseudoexfoliatio lentis vor oder besteht ein Augeninnendruck von 25 mmHg oder mehr, dann sollte die Früherkennungsuntersuchung mindestens einmal pro Jahr erfolgen.
Evidenz und Expertenkonsens
Zu einigen Aussagen der Leitlinie gibt es keine Studien, aus denen sich die Empfehlungen zuverlässig ableiten lassen. Die Qualität der Evidenz ist beim Thema Risikofaktoren für ein Offenwinkelglaukom moderat, insbesondere bei der Übertragung in die Glaukomfrüherkennung gibt es ein nicht unerhebliches Ausmaß an Unsicherheit. Dennoch gibt die Leitlinie klare Empfehlungen. Sie berücksichtigt auch die Folgen, die zu erwarten sind, falls Untersuchungen unterbleiben. Aus ethischer Sicht wiegen nach Ansicht der Autoren die Folgen eines nicht oder zu spät entdeckten Glaukoms schwerer als die Folgen eines Glaukomverdachts, der sich bei weitergehenden Untersuchungen als unbegründet erweist.
Fazit
Das Offenwinkelglaukom ist eine langsam fortschreitende Krankheit, die unbehandelt zur Erblindung führen kann. Die Betroffenen selbst bemerken Symptome erst in einem späten Stadium der Krankheit, zu diesem Zeitpunkt eingetretene Schäden lassen sich nicht wieder rückgängig machen. Wird die Krankheit hingegen rechtzeitig erkannt, besteht die Möglichkeit, ihr Fortschreiten meist aufzuhalten oder zu verzögern. Die neue Leitlinie fasst das verfügbare Wissen über die Risikofaktoren des Offenwinkelglaukoms zusammen und leitet daraus Empfehlungen ab, welchen Personen eine Früherkennungsuntersuchung angeboten werden soll und in welchen Zeitabständen eine Wiederholung sinnvoll ist.
Prof. Dr. Alexander Schuster
Augenklinik und Poliklinik
Universitätsmedizin Mainz
Langenbeckstr. 1
55131 Mainz
Tel.: 06131/17 7607
Fax: 06131/17 477 607
E-Mail: alexander.schuster@unimedizin-mainz.de
Glaukomfrüherkennung – für wen und wie oft?
Kurzfassung
Das Glaukom ist eine langsam voranschreitende Erkrankung des Sehnervs. Kennzeichnend sind der Verlust von retinalen Ganglienzellen und deren Fortsätzen (Axone). Die Folge sind blinde Flecken im Gesichtsfeld des Auges, zunächst am Rand, erst sehr spät ist auch das zentrale Sehen betroffen. Die häufigste Krankheitsform ist das Offenwinkelglaukom. Erst in fortgeschrittenem Stadium dieser Erkrankung bemerken die Patienten selbst Symptome.
Die Früherkennungsuntersuchung ist die einzige Möglichkeit, die Erkrankung rechtzeitig zu entdecken, noch ehe es zu gravierenden Schäden gekommen ist. Nur wenn die Diagnose rechtzeitig gestellt wird, kann das weitere Fortschreiten des Glaukoms aufgehalten oder verzögert werden.
Mit einer neuen Leitlinie bewerten die Deutsche Ophthalmologische Gesellschaft (DOG) und der Berufsverband der Augenärzte Deutschlands (BVA) nun die Risikofaktoren für das Auftreten des Offenwinkelglaukoms. Sie geben Empfehlungen, welchen Patienten die Früherkennungsuntersuchung angeboten und in welchen Abständen die Untersuchung wiederholt werden soll. Die neue Leitlinie wird auf der Internetseite der Arbeitsgemeinschaft der Wissenschaftlichen Medizinischen Fachgesellschaften (AWMF) veröffentlicht. Grundlagen sind eine systematische Recherche, die Auswahl und die Bewertung der wissenschaftlichen Belege zu den Risikofaktoren des Offenwinkelglaukoms. Sie schafft Klarheit und bietet Ärzten und Patienten Orientierungsmöglichkeiten.
Der wichtigste Risikofaktor für das Auftreten eines Offenwinkelglaukoms ist das Alter: Im Vergleich zu 40- bis 49-jährigen Menschen erkranken Menschen über 70 Jahren vierfach häufiger. Personen, deren Eltern an einem Glaukom leiden, haben ein zweifach erhöhtes Risiko, selbst zu erkranken. Ein weiterer Risikofaktor ist der Augeninnendruck: Beträgt er 24mmHg oder mehr, dann liegt die Wahrscheinlichkeit, in den nächsten fünf Jahren an einem Glaukom zu erkranken, bei 9,5 Prozent. Schließlich ist das Risiko bei einer Kurzsichtigkeit von -4 Dioptrien oder mehr erhöht, ebenso, wenn eine Pseudoexfoliatio lentis vorliegt – das sind Ablagerungen auf der Linse und im Kammerwinkel des Auges.
Die Leitlinie empfiehlt, dass die Glaukomfrüherkennung allen Personen ab dem 40. Lebensjahr angeboten werden soll. Die Untersuchung sollte alle fünf Jahre wiederholt werden, ab dem Alter von 60 Jahren alle zwei bis drei Jahre. Wenn ein weiterer Risikofaktor vorliegt, dann soll bei einem negativen Untersuchungsergebnis der Abstand zur nächsten Untersuchung auf zwei bis drei Jahre bei Menschen ab 40 Jahren und auf ein Jahr bei Menschen ab 60 Jahren verkürzt werden. Beim Vorliegen von drei oder mehr Risikofaktoren sollten schon Personen ab dem Alter von 40 Jahren jährlich untersucht werden. Liegt eine Pseudoexfoliatio lentis vor oder ein Augeninnendruck von 25mmHg oder mehr, dann sollte die Früherkennungsuntersuchung mindestens einmal pro Jahr erfolgen.
Refraktiver Linsentausch
Was empfiehlt die Kommission Refraktive Chirurgie?
Immer mehr Menschen sind für eine klare Sicht auf Sehhilfen angewiesen, seien es Brillen oder Kontaktlinsen. Ihre Nutzung empfinden viele jedoch als umständlich und als Einschränkung ihrer Lebensqualität. Augenärzte können dann häufig mit chirurgischen Eingriffen den Sehfehler dauerhaft korrigieren und die gewünschte Unabhängigkeit von der Sehhilfe ermöglichen. Da bei diesen Eingriffen die Brechkraft (Refraktion) des Auges verändert wird, ist von refraktiver Chirurgie die Rede. Eine ganze Reihe von Verfahren steht zur Verfügung, sodass für jeden Patienten, für jedes Auge die individuell passende Lösung gefunden werden kann. Eine Möglichkeit ist der refraktive Linsentausch, das ist der Austausch der körpereigenen Linse gegen ein Kunststoffimplantat (Intraokularlinse).
Besondere Sorgfalt
Refraktive Eingriffe sind elektive Behandlungen, die nicht zwingend notwendig sind. Zudem werden operative Techniken eingesetzt, die nicht als allgemein anerkannte Heilverfahren gelten. Hier ist daher eine besondere Sorgfalt hinsichtlich der Indikationsstellung, der Beratung und der Aufklärung der Patienten und auch der Ausführung des Eingriffs geboten.
Kommission Refraktive Chirurgie
Der Berufsverband der Augenärzte Deutschlands (BVA) und die Deutsche Ophthalmologische Gesellschaft bewerten seit dem Jahr 1995 die Verfahren der refraktiven Chirurgie regelmäßig und veröffentlichen die jeweils aktuellen Empfehlungen auf der Internetseite der Kommission Refraktive Chirurgie (KRC): http://www.aad.to/krc/qualit.pdf. Die Kommission formuliert Empfehlungen zur Qualitätssicherung der neuen Verfahren und bietet theoretische und praktische Kurse für Augenchirurgen an. Die Ärzte, die an diesen Kursen regelmäßig und mit Erfolg teilnehmen, werden in eine Anwenderliste aufgenommen, die den Patienten als Orientierungshilfe dient. Bei diesen Augenchirurgen können Patienten, die einen refraktiven Eingriff erwägen, sicher sein, dass die Qualitätsstandards eingehalten werden.
Eingriffe an der Hornhaut oder an der Linse
Um die Brechkraft des Auges zu verändern, setzen die Verfahren entweder an der Hornhaut des Auges an oder an der Linse, die beide wesentlich zur Brechkraft des Auges beitragen. Bei den hornhautchirurgischen Verfahren wird meist Hornhautgewebe mit einem Laser abgetragen. Alternativ dazu können zusätzlich zur körpereigenen Linse sogenannte phake Linsen ins Auge eingesetzt werden, oder die körpereigene Linse wird entfernt und durch ein Implantat ersetzt.
Für welche Patienten kommt ein refraktiver Linsentausch in Frage?
Die KRC sieht den refraktiven Linsentausch vor allem als Option für Patienten, bei denen neben einer Kurz- oder Weitsichtigkeit auch eine Alterssichtigkeit (Presbyopie) vorliegt, oder für Patienten, die „nur“ alterssichtig sind. Die Presbyopie tritt auf, wenn das Auge mit zunehmendem Alter die Fähigkeit verliert, sich an unterschiedliche Sehentfernungen anzupassen. Junge Augen akkommodieren, das heißt, sie können durch eine Verformung der Linse ihre Brechkraft so anpassen, dass bisweilen Gegenstände in der Nähe, dann wieder weit entfernte Gegenstände scharf gesehen werden. Etwa im fünften Lebensjahrzehnt geht diese Fähigkeit verloren. Normalsichtige Menschen benötigen dann eine Lesebrille, um Gegenstände in der Nähe scharf erkennen zu können. Wird die körpereigene Linse gegen ein Implantat ausgetauscht, geht eine eventuell noch vorhandene Akkommodationsfähigkeit verloren. Jüngeren Menschen, die noch nicht presbyop sind, wird ein refraktiver Linsentausch deshalb nur in Ausnahmefällen bei einer hohen Kurzsichtigkeit von mehr als -6 Dioptrien oder einer hohen Weitsichtigkeit von mehr als vier Dioptrien empfohlen.
Wie läuft der Eingriff ab?
Das Vorgehen beim refraktiven Linsentausch ist dasselbe wie in der modernen Kataraktchirurgie, bei der die körpereigene Linse, wenn sie trüb geworden ist, durch ein Implantat ersetzt wird. Die Hornhaut wird am Rand mit einem nur wenige Millimeter breiten Schnitt eröffnet. Dann wird die körpereigene Linse mit Hilfe von Ultraschall oder Laser zerkleinert und abgesaugt. Anschließend wird eine Intraokularlinse (IOL) durch den Hornhautschnitt in das Auge eingeführt. Die modernen Linsen bestehen aus einem flexiblen Material, sodass sie für den Eingriff gefaltet werden können. Im Auge entfalten sie sich dann und nehmen den Platz der vorher entfernten Linse ein. Der Schnitt, mit dem die Hornhaut eröffnet wurde, muss nicht genäht werden, er schließt sich von selbst.
Damit die IOL die Fehlsichtigkeit des Patienten möglichst exakt ausgleicht, wird das Auge vor der Operation genau untersucht und vermessen. Verschiedene Linsentypen stehen zur Auswahl. Bei der Entscheidung für den einen oder anderen Typ spielen auch die Erwartungen und Ansprüche des Patienten eine Rolle.
Monofokale IOL ermöglichen scharfes Sehen in einer bestimmten Entfernung – etwa in der Ferne oder in der Nähe. Eine Unabhängigkeit von der Brille für alle Entfernungen ist damit allerdings nicht gegeben.
Torische IOL gleichen einen Astigmatismus (Stabsichtigkeit) aus. Der Astigmatismus entsteht durch eine Hornhautverkrümmung. Die Augenoberfläche ist dann nicht wie eine Kugel geformt, sondern gleicht der Oberfläche eines Eis – in einer Achse ist die Krümmung stärker als in der senkrecht dazu gelegenen. Das führt dazu, dass Lichtstrahlen, die ins Auge fallen, nicht in einem Punkt gebündelt werden, sondern etwas verzerrt. Torische IOL sind so geformt, dass sie die Hornhautverkrümmung ausgleichen. Bei der Operation muss jedoch darauf geachtet werden, dass sie in der richtigen Position implantiert werden.
Multifokale IOL verteilen das ins Auge einfallende Licht auf zwei oder drei Brennpunkte. So bietet eine trifokale IOL scharfe Sicht in der Nähe, in einem mittleren Sehabstand und in der Ferne. Allerdings sind Einschränkungen beim Dämmerungssehen möglich, und auch störende Phänomene wie Halos – um eine Lichtquelle herum wird ein Lichtkranz wahrgenommen – können die Folge sein.
EDOF IOL (extended depth of focus) verteilen das Licht auf einen größeren Fokusbereich, sie können eine Alternative zu multifokalen IOL sein.
Welche Vorteile hat das Verfahren?
Augenärzte verfügen über eine große Erfahrung bei der Implantation von IOL – schätzungsweise 700000 Mal findet dieser Eingriff pro Jahr in Deutschland statt. Die Techniken werden immer weiter entwickelt, sodass die Möglichkeiten, eine Fehlsichtigkeit auszugleichen, immer besser werden. Gerade für presbyope Menschen oder für Menschen, bei denen bereits eine beginnende Linsentrübung festzustellen ist, kann der refraktive Linsentausch eine Option sein.
Welche Risiken sind zu beachten?
Wie bei jedem Eingriff sind auch beim refraktiven Linsentausch Nebenwirkungen und Risiken zu beachten. Einige Monate bis Jahre nach der Operation kann es zu einer sekundären Trübung hinter der Kunstlinse kommen. Dieser Nachstar kann ohne erneute Eröffnung des Auges mit Hilfe eines Lasers einfach behandelt werden. Bei der Operation selbst wird das Auge eröffnet. In extrem seltenen Fällen kann es dabei zu einer Infektion im Augeninneren kommen, die zur Erblindung des Auges führen kann. Bei kurzsichtigen Augen wird durch den refraktiven Linsentausch das Risiko einer Netzhautablösung erhöht. Wenn beide Augen eines Patienten operiert werden sollen, dann sollten die beiden Eingriffe nicht am selben Tag stattfinden, rät die KRC.
Fazit
Die Verfahren der Kataraktchirurgie sind so sicher und ausgereift, dass es heute möglich ist, den Linsentausch bei noch nicht am Grauen Star erkrankten Menschen als refraktiven Eingriff auszuführen. Dieser refraktive Linsentausch kommt vor allem für presbyope Patienten in Frage, die von Sehhilfen unabhängig sein wollen. Hohe Qualitätsstandards und eine eingehende Beratung der Patienten sind bei einem solchen elektiven Eingriff unerlässlich. Die KRC bewertet seit 1995 regelmäßig die Verfahren der refraktiven Chirurgie. Sie legt Qualitätsstandards fest und bietet Fortbildungskurse für die Anwender an, um die Sicherheit für die Patienten zu steigern.
Univ.-Prof. Dr. med. Thomas Kohnen
Direktor der Klinik für AugenheilkundeKlinikum der Johann Wolfgang Goethe-Universität
Theodor-Stern-Kai 7
60590 Frankfurt am Main
Tel.: 069/6301 5187
Fax: 069/6301 6586
E-Mail: info@uni-augenklinik-frankfurt.de
Univ.-Prof. Dr. med. Thomas Kohnen ist 1. Vorsitzender der KRC
Kunstlinsen korrigieren Sehfehler
Kurzfassung
Der Austausch der Augenlinse gegen ein Kunststoffimplantat kann heute auch Menschen, die noch nicht am Grauen Star erkrankt sind, empfohlen werden, um eine Fehlsichtigkeit auszugleichen. Dieser refraktive Linsentausch kommt vor allem für alterssichtige Patienten in Frage, die von Sehhilfen unabhängig sein möchten.
Wie alle Eingriffe in der refraktiven Chirurgie ist auch diese Operation eine elektive Behandlung, die nicht zwingend notwendig ist. Deshalb ist hier besondere Sorgfalt hinsichtlich der Indikationsstellung, der Beratung und der Aufklärung der Patienten sowie der Ausführung des Eingriffs geboten.
Der Berufsverband der Augenärzte Deutschlands (BVA) und die Deutsche Ophthalmologische Gesellschaft haben die Kommission Refraktive Chirurgie gegründet, die seit 1995 die Verfahren der refraktiven Chirurgie regelmäßig bewertet und ihre Empfehlungen im Internet auf http://www.aad.to/krc/qualit.pdf veröffentlicht. Zudem formuliert die Kommission Empfehlungen zur Qualitätssicherung und bietet theoretische und praktische Kurse für Augenchirurgen an. Ärzte, die an diesen Kursen regelmäßig und mit Erfolg teilnehmen, werden in eine Anwenderliste aufgenommen. Sie dient den Patienten, die einen refraktiven Eingriff erwägen, als Orientierungshilfe.
Das Vorgehen beim refraktiven Linsentausch entspricht dem in der modernen Kataraktchirurgie, bei der die trüb gewordene körpereigene Linse durch ein Implantat ersetzt wird. Vor dem Eingriff wird das Auge genau untersucht und vermessen. Zudem wird der Patient nach seinen Erwartungen und Ansprüchen befragt – auch dies spielt bei der Auswahl der Intraokularlinse (IOL) eine wichtige Rolle. Verschiedene Linsentypen stehen zur Verfügung:
- Monofokale IOL, die scharfes Sehen in einer bestimmten Entfernung ermöglichen,
- Torische IOL, die einen durch eine Hornhautverkrümmung bedingten Sehfehler (Astigmatismus) ausgleichen,
- Multifokale IOL, die scharfes Sehen in verschiedenen Entfernungen ermöglichen,
- EDOF IOL (extended depth of focus), die das Licht auf einen größeren Fokusbereich verteilen.
Beim Eingriff selbst wird die Hornhaut am Rand mit einem wenige Millimeter breiten Schnitt eröffnet. Die körpereigene Linse wird dann mit Hilfe von Ultraschall oder Laser zerkleinert und abgesaugt. Anschließend wird eine Intraokularlinse eingesetzt. Der Schnitt in der Hornhaut muss nicht genäht werden, er schließt sich von selbst.
Wie bei jedem Eingriff sind auch beim refraktiven Linsentausch Nebenwirkungen und Risiken zu beachten. In extrem seltenen Fällen kann es bei der Operation zu einer Infektion im Augeninneren kommen, die zur Erblindung des Auges führen kann. Die KRC rät dazu, nicht beide Augen am selben Tag zu operieren. Einige Monate bis Jahre nach der Operation kann es zum Nachstar kommen, einer Trübung hinter der Kunstlinse. Sie kann ohne erneute Operation mit Hilfe eines Lasers einfach behandelt werden. Bei kurzsichtigen Augen erhöht der refraktive Linsentausch das Risiko einer Netzhautablösung.
Werden die von der KRC empfohlenen Qualitätsstandards eingehalten, ist der refraktive Linsentausch vor allem für Menschen, die trotz Alterssichtigkeit nicht auf eine Sehhilfe angewiesen sein möchten, ein gutes und sicheres Verfahren.
Wenn Pollen die Augen reizen
Allergische Konjunktivitis
Vor allem im Frühjahr beginnt für viele Menschen eine Leidenszeit: Die Augen jucken, brennen und tränen, die Bindehaut ist rot und geschwollen. Hinzu kommen Niesanfälle und die Nase läuft. Was landläufig als Heuschnupfen bezeichnet wird, nennen Fachleute eine allergische Rhinokonjunktivitis. Diese saisonale Erkrankung ist die häufigste Form der allergischen Konjunktivitis. Sie beeinträchtigt das Befinden der Patienten zwar erheblich, jedoch meist nicht dauerhaft und ist in der Regel gut behandelbar. Das Spektrum allergischer Augenerkrankungen reicht jedoch bis hin zu ausgeprägten, chronischen Formen, die nur schwer in den Griff zu bekommen sind und sogar zur Erblindung führen können.
Formen allergischer Konjunktivitis
Die schon erwähnte allergische Rhinokonjunktivitis tritt – je nach Allergen – saisonal oder auch ganzjährig auf. Wenngleich es meistens Pflanzenpollen sind, die die Erkrankung auslösen, so gibt es jedoch auch andere Allergene, die das ganze Jahr über Probleme bereiten: Auch Schimmelsporen, Hausstaubmilben oder Tierschuppen können in der Bindehaut allergische Reaktionen hervorrufen.
Neben diesen akuten gibt es auch chronische Verlaufsformen: Die atopische Keratokonjunktivitis, den Frühlingskatarrh (Konjunktivitis vernalis), die Riesenpapillenkonjunktivitis sowie die kontaktallergische Konjunktivitis. Bei chronischen Formen, insbesondere der atopischen Keratokonjunktivitis und dem Frühlingskatarrh, kann die Hornhaut in Mitleidenschaft gezogen werden, was zu einer dauerhaften Beeinträchtigung des Sehvermögens führen kann.
Ein häufiges Problem
Schätzungen zufolge leiden bis zu 50 Prozent der europäischen Bevölkerung an einer Form der allergischen Konjunktivitis. In den vergangenen Jahrzehnten wurde eine Zunahme der Prävalenz beobachtet. Als mögliche Ursache hierfür wird unter anderem die zunehmende Luftverschmutzung genannt. Jedoch auch die Verbreitung des beifußblättrigen Traubenkrauts (Ambrosia) in Europa hat zur Zunahme von Allergien geführt. Rund 90 Prozent der Betroffenen leiden an einer saisonalen allergischen Konjunktivitis.
Mehr als nur lästig
Die Betroffenen klagen bei einer allergischen Konjunktivitis über juckende, brennende Augen und einen vermehrten Tränenfluss. Diese akuten Symptome treten schon 15 bis 20 Minuten nach dem Kontakt mit dem Allergen auf. Bis zu 24 Stunden ist die Spätphasenreaktion zu beobachten: Der Juckreiz und der Tränenfluss halten an, die Bindehaut ist gerötet, Fremdkörpergefühl, Lichtscheu und geschwollene Lider treten auf, was zu einer deutlichen Abnahme der Sehqualität führen kann. Hinzu kommen bei der Rhinokonjunktivitis die Beschwerden im Bereich der Nase, die nicht nur zu Niesanfällen führen: Nachts ist die Schlafqualität aufgrund der geschwollenen Schleimhäute reduziert, in der Folge fühlen sich die Menschen tagsüber müde und weniger leistungsfähig. Die Lebensqualität ist deutlich eingeschränkt, dabei werden die Beschwerden an den Augen sogar oft als gravierender empfunden als die nasalen Probleme.
Wie kommt es zur Allergie?
Allergien bezeichnen generell eine überschießende Abwehrreaktion des Immunsystems auf eigentlich ungefährliche Stoffe in der Umgebung. Bei der allergischen Rhinokonjunktivitis handelt es sich um eine sogenannte Typ-I-Allergie. Dabei werden in der Sensibilisierungsphase kleinste Mengen eines Allergens über die Schleimhäute in Nase und Bindehaut aufgenommen. Hier kommt es zu komplexen Reaktionen, in deren Folge spezifische Antikörper (Immunglobulin E, IgE) gegen das Allergen gebildet werden. Bei jedem folgenden Kontakt mit dem Allergen sorgen diese Antikörper nun in kürzester Zeit für eine Abwehrreaktion (z. B. Histaminausschüttung) des Körpers mit den oben beschriebenen belastenden Symptomen.
Untersuchungsmethoden
Wenn Patienten in der Augenarztpraxis über ihre Beschwerden berichten, dann gilt es, möglichst genau zu erfahren, wann und unter welchen Bedingungen die Probleme auftraten, ob schon Allergien bekannt sind und ob eventuell Verwandte ebenfalls betroffen sind. Bei der Augenuntersuchung ist eine Rötung der Bindehaut zu beobachten, da die Blutgefäße erweitert sind. Zudem ist die Bindehaut angeschwollen (Chemosis) und sieht glasig aus. Lidschwellungen sind oft noch zu sehen, nachdem die anderen Befunde schon zurückgegangen sind.
Um festzustellen, welches Allergen die Beschwerden verursacht, ist der Pricktest der Goldstandard, er wird in der Regel von Dermatologen durchgeführt. Hierbei werden kleine Mengen möglicher Allergene auf die Haut – meist am Unterarm – aufgetragen, die dann mit einer Lanzette leicht angestochen wird, sodass die Allergene in die Haut eindringen können. Nach etwa 20 Minuten wird dann geprüft, ob eine Hautrötung zu beobachten ist und ob sich Quaddeln bilden. Wenn dieser Test negativ ist, kann man im Blutserum nach spezifischem IgE suchen.
Abgrenzung von anderen Krankheiten
Nicht jede Konjunktivitis wird durch eine Allergie ausgelöst. Bei der Augenuntersuchung wird daher genau geprüft, ob andere Verursacher wie Viren, Bakterien oder Chlamydien die Krankheit ausgelöst haben oder ob die Beschwerden auf ein trockenes Auge zurückgehen. Wenn eine Allergie vorliegt, dann ist zu unterscheiden, ob eine der akuten Formen oder eine chronische allergische Konjunktivitis wie beispielsweise die atopische Keratokonjunktivitis vorliegt. Denn dann kann die Erkrankung auch die Hornhaut betreffen und das Sehvermögen nachhaltig bedrohen. Die Behandlungsstrategie muss dann entsprechend angepasst werden.
Behandlung der akuten allergischen Konjunktivitis
Bei einer akuten Erkrankung gilt es, die Beschwerden rasch zu lindern, den Entzündungsprozess zu kontrollieren und langfristig vorbeugend tätig zu werden, oft gemeinsam mit Ärzten anderer Fachbereiche. Zunächst wird geprüft, ob es möglich ist, dem Allergen aus dem Weg zu gehen. Eine völlige Allergenkarenz ist im Alltag jedoch selten machbar, aber mit häufigem Haarewaschen, Filtern in Klimaanlagen und einer entsprechenden Gestaltung des Umfelds (Teppiche entfernen, allergenabweisende Bettwäsche etc.) lässt sich häufig schon eine Besserung erreichen. Auch der Einsatz von Tränenersatzmitteln, mit denen Allergene aus den Augen ausgewaschen werden, kann helfen. Dabei sollten aber stets konservierungsmittelfreie Produkte zum Einsatz kommen, denn viele Konservierungsmittel können selbst Allergien auslösen.
Verschiedene Medikamente in Augentropfen können den Patienten rasche Linderung verschaffen. Am häufigsten werden dabei Antihistaminika eingesetzt, die schnell und zielgerichtet wirken. Ihre Wirkung hält meist vier bis sechs Stunden an. Mittel- bis langfristig werden Mastzellstabilisatoren eingesetzt. Dabei sollte die Behandlung mit Mastzellstabilisatoren bei der saisonalen allergischen Rhinokonjunktivitis bereits einige Wochen vor Beginn der Allergensaison begonnen werden, damit sie ihre volle Wirkung entfalten können. Eine Doppelstrategie verfolgen Mastzellstabilisatoren mit antihistaminerger Wirkung: Sie wirken relativ schnell und nachhaltig. In schweren Fällen kann kurzzeitig auch die lokale Anwendung von Steroiden notwendig sein. Sie sorgen kurzfristig für ein Abklingen der Entzündung, doch wegen möglicher schwerer Nebenwirkungen wie dem Anstieg des Augeninnendrucks sollte ihr Einsatz nur unter augenärztlicher Kontrolle erfolgen.
Wenn die Allergie nicht nur die Augen, sondern auch andere Organe betrifft, erhalten die Patienten Antihistaminika auch in Form von Tabletten, wodurch auch die Beschwerden an den Augen gelindert werden.
Neben der Allergenkarenz und der medikamentösen Behandlung ist die spezifische Immuntherapie die dritte Säule der Allergietherapien. Bei der Hyposensibilisierung erhalten die Patienten unter kontrollierten Bedingungen wiederholt unterschwellige Dosen des auslösenden Allergens mit dem Ziel, die Symptome zu verringern und den Bedarf an Medikamenten zu senken.
Behandlung der atopischen Keratokonjunktivitis
Während die akute allergische Konjunktivitis in der Regel gut und einfach behandelbar ist, ist die Behandlung chronischer Formen wie der atopischen Keratokonjunktivitis eine interdisziplinäre Herausforderung. Etwa zwei Prozent der Bevölkerung sind von einer atopischen Dermatitis (oft auch Neurodermitis genannt) betroffen. Bei 25 bis 43 Prozent von ihnen ist im Krankheitsverlauf auch eine Beteiligung der Augen zu beobachten. Dabei können die Haut im Umfeld der Augen, die Augenlider, die Bindehaut und sogar die Hornhaut entzündet sein. Die Entzündungen der Lider und Lidränder können zu Fehlstellungen führen, die zusätzlich Schäden an der Hornhaut verursachen. Bei Patienten mit atopischer Dermatitis ist zudem stets mit einem erhöhten Risiko für Infektionen insbesondere mit Herpesviren zu rechnen. Der chronische Verlauf und die schubweise Verschlechterung der Befunde können schwere Folgen an den Augen bis hin zur Erblindung haben. Deshalb ist es wichtig, dass die Betroffenen schon früh auch augenärztlich betreut werden. Um die Beschwerden zu lindern, die Häufigkeit der Schübe zu senken und die Sehfähigkeit zu erhalten, kommen je nach Krankheitsstadium verschiedene Therapieschemata zum Einsatz. Eine konsequente Lidrandpflege gegebenenfalls ergänzt mit immunmodulatorischen Hautcremes hilft, Entzündungen und Vernarbungen der Lider zu vermeiden. Bei der medikamentösen Therapie kommen antientzündliche Medikamente sowohl lokal als auch systemisch zum Einsatz. Nicht selten fehlt es hier an zugelassenen Medikamenten, sodass Augenärzte ihre Patienten häufig über „Off label“-Therapien aufklären müssen. In schweren Fällen sind auch chirurgische Eingriffe an den Augenlidern bis hin zur Hornhauttransplantation notwendig, um das Augenlicht der Patienten zu erhalten.
Fazit
Allergische Augenkrankheiten sind sehr häufig, in den allermeisten Fällen aber gut behandelbar. Nur in seltenen Fällen, vor allem bei chronischen Formen der allergischen Konjunktivitis, ist das Sehvermögen der Patienten bedroht.



Prof. Dr. Philip Maier
Oberarzt und Leiter der Lions Hornhautbank BW
Universitätsaugenklinik Freiburg
Kilianstraße 5
79106 Freiburg
Tel.: 0761/270 400 60
Fax: 0761/270 964 0630
E-Mail: philip.maier@uniklinik-freiburg.de
Allergien am Auge: häufig und mehr als lästig
Kurzfassung
Allergische Augenerkrankungen sind sehr häufig, in den allermeisten Fällen jedoch gut behandelbar. Vor allem die allergische Rhinokonjunktivitis – landläufig als Heuschnupfen bezeichnet – macht vielen Menschen zu schaffen: Die Augen jucken, brennen und tränen, die Bindehaut ist rot und geschwollen. Je nachdem, welches Allergen die Allergie auslöst, tritt sie saisonal oder ganzjährig auf.
Schätzungen zufolge leiden bis zu 50 Prozent der europäischen Bevölkerung an einer allergischen Konjunktivitis: Das Immunsystem wehrt sich heftig gegen fremde, eigentlich ungefährliche Stoffe. In rund 90 Prozent der Fälle liegt eine saisonale Allergie vor. Bei der allergischen Rhinokonjunktivitis reagieren die Schleimhäute in Nase und Bindehaut mit einer Histaminausschüttung. Die Schleimhäute schwellen an, jucken und brennen, es kommt zu einem vermehrten Tränenfluss. Die Bindehaut wird rot und auch die Lider schwellen an.
Nicht nur Pflanzenpollen können allergische Reaktionen in der Bindehaut hervorrufen, sondern auch Schimmelsporen, Hausstaubmilben oder Tierschuppen. Neben den akuten Erkrankungen gibt es auch chronische Verlaufsformen wie die atopische Keratokonjunktivitis bei Menschen mit Neurodermitis. Dabei kann die Hornhaut in Mitleidenschaft gezogen werden. Dauerhafte Einschränkungen des Sehvermögens sind möglich.
In der Augenarztpraxis spielt neben der eingehenden Untersuchung der Augen auch die Suche nach dem Auslöser eine wesentliche Rolle. Deshalb gilt es, genau zu beschreiben, wann und unter welchen Bedingungen die Probleme auftraten, ob Allergien bekannt sind und ob es bei Verwandten Allergien gibt. Bei der Augenuntersuchung wird zudem genau geprüft, ob die Bindehautentzündung wirklich auf eine Allergie zurückgeht, denn auch eine Infektion mit Bakterien oder Viren kann zu einem roten Auge führen. Wenn feststeht, dass eine Allergie der Grund für die Beschwerden ist, muss unterschieden werden, ob eine akute oder eine chronische Form vorliegt.
Bei einer akuten Erkrankung gilt es, die Beschwerden rasch zu lindern, den Entzündungsprozess zu kontrollieren und langfristig vorbeugend tätig zu werden. Die Behandlung chronischer Formen wie der atopischen Keratokonjunktivitis ist dagegen eine interdisziplinäre Herausforderung. Etwa zwei Prozent der Bevölkerung sind von einer atopischen Dermatitis (oft auch Neurodermitis genannt) betroffen. 25 bis 43 Prozent der Betroffenen weisen eine Beteiligung der Augen auf. Entzündungen der die Augen umgebenden Haut, der Lider und Lidränder können zu Fehlstellungen führen, die die Hornhaut schädigen. Zudem besteht ein erhöhtes Risiko für Infektionen insbesondere mit Herpesviren. Hier gilt es, individuell zugeschnittene Therapieschemata zu entwickeln. Eine konsequente Lidrandpflege kann helfen, Entzündungen und Vernarbungen der Lider zu vermeiden. Antientzündliche Medikamente, die sowohl lokal als auch systemisch eingesetzt werden, können sinnvoll sein. Jedoch fehlt es an zugelassenen Medikamenten, sodass Augenärzte ihre Patienten häufig über „Off label“-Therapien aufklären müssen. In schweren Fällen sind auch chirurgische Eingriffe bis hin zur Hornhauttransplantation notwendig, um das Augenlicht der Patienten zu erhalten.
BVA-Medienpreis 2020
Laudatio
für Volker Wasmuth und Patrick Zeilhofer
Der Berufsverband der Augenärzte Deutschlands e.V. verleiht den Medienpreis 2020 an Volker Wasmuth und Patrick Zeilhofer. Die beiden Filmautoren haben mit der ZDF-Dokumentation „Gesunde Augen – klarer Blick“ in 45 Minuten zusammengefasst, womit Augenärzte in Deutschland und weltweit tagtäglich konfrontiert sind: Die Dokumentarfilmer fragten nach, weshalb Kinder kurzsichtig werden und was sich dagegen unternehmen lässt, sie begleiteten aber auch einen Patienten bei einer lamellären Keratoplastik in den OP. Sie zeigten, wie sich die feuchte AMD heute behandeln lässt und welche Forschungen in Deutschland laufen, um die Makuladegeneration mit Hilfe von Stammzellen in den Griff zu bekommen. Der Film erläutert, wie bei einer Kataraktoperation in Deutschland heute mit modernen Techniken zugleich eine Fehlsichtigkeit ausgeglichen wird. Das Team reiste sogar nach Ruanda, um zu beobachten, wie augenärztliche Teams im Auftrag der Christoffel Blindenmission dort Menschen vom Grauen Star heilen.
Die beiden erfahrenen Dokumentarfilmer erstellen seit dem Jahr 2016 gemeinsam Reportagen und Dokumentationen unter anderem für die Sender ZDF, ZDFinfo, 3sat und ARTE. Volker Wasmuth leitet die Kölner Produktionsfirma „Blue moon media GmbH“ und arbeitet als Autor und internationaler TV-Consultant. Er war Chefredakteur und Nachrichtenchef des Senders ntv und er hat das RTL Nachtjournal entwickelt und geleitet. Patrick Zeilhofer führt die Münchner Produktionsfirma „Die Medienmacher“. Er war unter anderem Redaktionsleiter des RTL Mittagsmagazins „Punkt 12“, Chefredakteur bei RTL interactive und Geschäftsführer bei Sport 1.
Das Autoren-Duo befasst sich mit einer großen Bandbreite an Themen – neben Gesundheitsthemen kommen in den Dokumentationen des Teams die „Blockchain-Revolution“ zur Sprache, neue Wege aus dem Verkehrskollaps von der Seilbahn bis zum Flugtaxi oder auch die unterschätzten Gefahren, die von Talsperren ausgehen.
In ihrem Film „Gesunde Augen, klarer Blick – Neue Therapien erhalten die Sehkraft“ haben Volker Wasmuth und Patrick Zeilhofer in einer Dreiviertelstunde mit starken Bildern ganz verschiedene Aspekte der modernen Augenheilkunde angesprochen und dabei einfühlsam dargestellt, welche Bedeutung Augenerkrankungen für die Betroffenen haben und welchen Gewinn an Lebensqualität eine erfolgreiche Behandlung für sie bringt. Dieser Film ist ein ausgesprochen wertvoller Beitrag zur Information und Aufklärung der Öffentlichkeit auf dem Gebiet der Augenheilkunde.
Dr. Peter Heinz,
1. Vorsitzender des Berufsverbandes der Augenärzte e.V.
